成人外科恢复室(SICU) - 科室动态 - …
【医疗动态】全国首批云南首例!farapulse脉冲消融术在云南省阜外医院成功开展
时间:2024-11-03
浏览量:9672
近日,在云南省阜外心血管病医院院长助理、内科管委会主任牛国栋教授的带领下,由心内科、麻醉科、超声科共同配合相继完成云南省首例farapulse脉冲消融术及云南省首例farapulse脉冲消融术+watchman FLX左心耳封堵一站式手术。

两名患者经术前检查均被诊断为阵发性心房颤动,第一位患者患有高血压、胸主动脉粥样硬化、肺栓塞、下肢静脉血栓形成、下肢静脉粥样硬化等;第二位患者则患有陈旧性脑梗死及慢性胃炎,二人皆因心房颤动导致生活质量大幅下降。在牛国栋教授及心内科团队充分评估后,经多次讨论,最终决定为第一位患者实施farapulse脉冲消融术,为第二位患者实施farapulse脉冲消融术+watchman FLX左心耳封堵一站式手术。
经过术前充分筹备,在手术团队、麻醉科、超声科和导管室医护人员的通力合作下,手术有条不紊的进行。术中将脉冲消融导管放置于肺静脉口部和前庭部位,通过脉冲消融系统释放2.0kv的脉冲电场能量至心肌组织,致使心肌细胞达到有效的、不可逆的损伤,消灭了病变的组织。
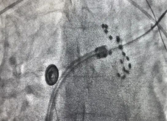
上图为X线下farapulse导管的两种形态:网篮状(左)和花瓣状(右)


脉冲消融术后,经验证患者的肺静脉均完成了电隔离。其中第一位患者脉冲消融时长为13分钟;第二位患者脉冲消融时长为25分钟,左心耳封堵时长20分钟,两台手术均高效完成,术后两名患者各项体征正常,安全返回病房,无任何并发症或不良事件。

牛国栋教授表示,房颤长期治疗方法包括药物治疗和导管消融(射频消融和冷冻消融),相较于药物治疗,导管消融治疗的优势在于更显著降低心律失常复发率及住院率。传统的导管消融方式可致房室传导阻滞、膈神经损伤、食道损伤、心脏压塞等手术并发症。现在全球领先的脉冲电场消融技术为房颤消融手术提供新的选择,脉冲电场消融是通过产生脉冲电场,在短时间内造成病变细胞的凋亡,以达到预期治疗目的。脉冲电场可选择性地损伤心肌,而保留血管、神经及心脏周围组织,如肺、食管、膈神经等,避免由周围其他组织损伤导致的并发症,因此它具有更高的安全性和手术效率。
此次云南省阜外心血管病医院farapulse脉冲消融术的开展是全国首批、云南省首例,标志着云南省阜外心血管病医院将引领云南省房颤治疗进入新阶段,心律失常团队在房颤治疗领域取得又一重大突破,同时彰显了云南省阜外心血管病医院多学科协作的高效性、默契性。相信随着这项技术的发展和普及,将会有更多房颤患者从中获益。
阜外院训
敬业 · 仁爱 · 求实 · 攀登
军队文化
对党忠诚,信念坚定,听党指挥,从大局出发,全心全意为人民服务, 注重团队协作,组织纪律严明
协和文化
协和精神:严谨、求精、勤奋、奉献思想内核:崇尚科学、崇尚知识、 专业态度和专业精神表现方式:凝重、内敛、不张扬、重视口碑效应
精英文化
始终以成为行业内精英医院为奋斗目标以【培养国家级心血管病专家为己任】