心力衰竭病区 - 科室动态 - 正文
冠状动脉瘤:身体里的 “不定时炸弹”
时间:2025-05-08
浏览量:8258
冠状动脉,作为心脏的 “专属供血员”,主要分为左右两支。它们从主动脉根部的左右冠状动脉窦 “出发”,沿着心脏表面蜿蜒前行,为心肌输送着维持其强大收缩力的关键 “养分”。这两条动脉至关重要,一旦出现问题,心脏的正常运转就会受到严重影响。

冠状动脉动脉瘤,
堪称冠状动脉中的 “不定时炸弹” ,
一旦 “引爆”,生命便岌岌可危。
接下来,
让我们借助真实故事,
踏上认识冠状动脉瘤的探索之旅吧!
真实世界之 “惊心故事”
故事一:少女与心脏 “大炸弹” 的惊险较量
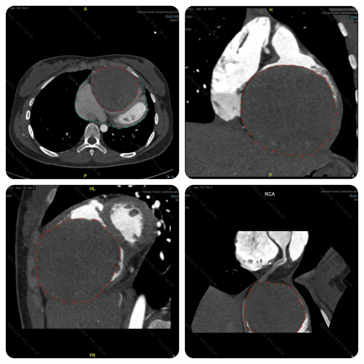
15 岁,本应是充满活力、肆意奔跑在青春赛道上的年纪,小迪(化名)却被胸口的憋闷与疲乏无情笼罩。两年间,这种不适如影随形,且愈发严重。在老家医院初步判断为心脏病后,心急如焚的家人带着小迪辗转来到云南省阜外心血管病医院(以下简称:云南省阜外医院)经过一系列全面的心脏检查,一个惊人的发现让所有人都捏了一把汗 —— 小迪的心脏上竟长出了一个犹如 “大炸弹” 般的东西。
这个神秘的 “炸弹” 究竟从何而来?
随着心脏超声、心脏 CT、心脏核磁以及冠状动脉造影检查结果的陆续出炉,答案终于浮出水面:它源自小迪的右冠状动脉。

这颗 “炸弹” 就像一个贪婪的 “侵略者”,当发现它时,其直径已将近 10 公分,源源不断的血液从右冠状动脉涌入其中,持续压迫着心脏,小迪也因此愈发难受。冠状动脉上出现如此巨大的 “炸弹”,极为罕见。一旦这个 “炸弹” 哪天突然 “爆炸”,小迪年轻的生命将岌岌可危。
发现情况如此危急,云南省阜外医院医护团队迅速行动起来,开启了紧张的 “扫雷” 行动,通过心脏外科手术,成功拆除了这颗危及生命的 “大炸弹”。如今,18 岁的小迪已完全康复,能和同龄人一样尽情享受生活、投入工作,绽放属于她的青春光彩。
故事二:老秦的心脏 “地雷” 危机
59 岁的老秦(化名),被高血压、高血脂困扰了 10 多年。因不明原因的心慌,他来到云南省阜外医院。入院前一个月左右,老秦时常感觉心慌得厉害,心慌时还伴有头晕症状,每次心慌持续几分钟后自行缓解,好在未曾出现胸口疼痛、晕厥等情况。鉴于老秦的年龄较大,我们为他安排了冠状动脉 CT 检查。这不查不知道,一查吓一跳,老秦的心脏表面竟冒出了一个 “大地雷”。仔细查看,这个 “大地雷” 紧紧包裹着左侧冠状动脉中最重要的血管 —— 前降支。更糟糕的是,“地雷” 内的血液已经凝固成血栓,表面还形成了一层钙化的 “铠甲”,仿佛一颗随时可能引爆的 “定时炸弹”。

为了确定是否需要为老秦实施外科手术 “排雷”,我们紧接着安排了冠状动脉造影检查。结果显示,虽然冠状动脉前降支被 “地雷” 包裹,但血管腔依旧通畅,“地雷” 没有对冠状动脉造成压迫,血管内的血液也没有渗漏到 “地雷” 内。

经过手术专家们的深入讨论,一致认定老秦心脏上的 “地雷” 属于冠状动脉假性动脉瘤。由于 “地雷” 没有压迫冠状动脉,血液没有外溢,且表面有 “铠甲” 保护,内部又是实心血栓,爆炸风险相对较低。综合考虑老秦的意见后,专家团队决定暂不进行外科 “排雷”,而是建议他定期复查,密切关注 “地雷” 的动态。
看完这些惊心动魄的真实故事,
你心中或许满是疑惑。
到底什么是冠状动脉瘤?
患病的原因有哪些?
又该如何治疗与预防呢?
别着急,
接下来,就为你一一解答。
什么是冠状动脉瘤?
冠状动脉发生扩张时,当扩张直径大于邻近正常血管或最大冠状动脉直径的1.5倍时,被称为冠状动脉瘤。在成人中,如果冠状动脉扩张直径大于正常直径4倍以上,或扩张部位直径大于2公分,称为巨大冠状动脉瘤。对于儿童,当冠状动脉扩张的血管直径大于8 毫米也被称为巨大冠状动脉瘤。
冠状动脉扩张症是弥漫性扩张,冠状动脉瘤则是局限性扩张,冠状动脉假性动脉瘤则为冠状动脉内膜破裂后血液进入冠状动脉壁,形成壁内血肿。
患病原因
冠状动脉瘤的发病原因并不是完全明了,目前发现主要有以下几种原因:
①动脉粥样硬化:成年人冠状动脉瘤多是因冠状动脉粥样硬化导致的。
②炎症性疾病:川崎病、马方综合征和狼疮等,川崎病是儿童冠状动脉瘤最常见的病因,概率可达15% ~25%。
③非炎症性及其他:包括冠脉损伤、感染、中毒、先天性病变等因素。

川崎病患儿冠状动脉瘤扩张
(图片来源于网络如有侵权联系删除)
患病信号:
大多数冠状动脉瘤患者没有特殊的临床表现,多数患者是冠状动脉CT、造影等检查时偶然发现。假如冠状动脉瘤过大时,可能会导致心脏受压,出现胸闷、气短等心衰症状。此外,剧烈活动后胸口疼痛是最常见的症状。部分患者发生紧急情况,冠状动脉瘤破裂出血、瘤体压迫血管导致心肌梗死、严重心律失常,部分患者可出现猝死。
患病了应该怎么治疗?
冠状动脉瘤常见的并发症有形成血栓、瘤体破裂、血管痉挛等。但由于冠状动脉瘤发病率较低,目前还没有一套标准化的处理方案。
治疗方案主要分为药物保守治疗和手术治疗两类,而手术治疗又细分为介入手术和外科手术。
药物治疗:
经过评估,如果冠状动脉瘤破裂风险小,对冠状动脉也没有压迫狭窄,那么药物保守治疗是个不错的选择。冠状动脉瘤患者往往存在血流缓慢、血管痉挛等情况,这使得血栓形成的风险相对较高,就像河道狭窄容易淤积泥沙一样,血管容易被血栓堵塞。所以,这类患者需要长期进行抗栓治疗。另外,大部分成年患者的病因是动脉粥样硬化,因此抗血小板治疗也是很有必要的。
手术治疗:
患者冠状动脉瘤较大、破裂风险高、压迫狭窄情况严重,那就得考虑尽快手术治疗了。介入手术主要通过冠脉覆膜支架封闭瘤体入口、封堵材料封堵填塞瘤体等方法,来降低瘤体破裂风险,缓解压迫症状。对于合并有炎症冠状动脉病变、冠状动脉瘤体过大、具有严重压迫症状、破裂风险高的患者,外科手术治疗则是更好的选择。外科手术主要通过切除冠状动脉瘤、重建冠状动脉、补片修补冠状动脉、结扎冠状动脉瘤并进行冠状动脉搭桥等方式,来解决冠状动脉瘤带来的各种问题。
如何预防
对于已经诊断为川崎病的患儿,家长们要时刻警惕冠状动脉瘤这个 “潜在敌人” 的出现。积极治疗川崎病的同时,定期带孩子进行心脏体检,以便及时排查冠状动脉瘤。
对于冠状动脉粥样硬化性心脏病的患者,要严格按照冠心病二级预防治疗的标准来 “守护” 自己的心脏。在饮食上,要坚决对咸和油腻食物说 “不”,还要果断戒烟忌酒。要是已经发现自己的冠状动脉有扩张的趋势,那就一定要定期到心脏专科复诊,密切观察冠状动脉扩张是否有加重的迹象。必要时,要积极配合医生进行手术治疗,千万不要掉以轻心!
上一篇: 用自己的血救自己的命——自体血液分离技术
下一篇: 你不了解的体位性晕厥与颈动脉窦综合征
阜外院训
敬业 · 仁爱 · 求实 · 攀登
军队文化
对党忠诚,信念坚定,听党指挥,从大局出发,全心全意为人民服务, 注重团队协作,组织纪律严明
协和文化
协和精神:严谨、求精、勤奋、奉献思想内核:崇尚科学、崇尚知识、 专业态度和专业精神表现方式:凝重、内敛、不张扬、重视口碑效应
精英文化
始终以成为行业内精英医院为奋斗目标以【培养国家级心血管病专家为己任】