超声科 - 科室动态 - 正文
缩窄性心包炎病例分享
时间:2023-05-30
浏览量:16193
病例分享
病史:患者女性,27岁,因“心悸一周”入我院门诊,一周前因肺部感染后出现活动后心悸,活动时加重,休息后可缓解,无胸闷、胸痛,自发病以来,患者无头晕、头痛、腹痛、腹胀、晕厥等表现,精神、饮食、睡眠尚可,大小便正常,体重无明显改变。
入院完善相关检查:心电图:1.窦性心率; 2.一度房室传导阻滞;3.T波改变。
24小时动态心电图:窦性心动过速;P波异常;房室结双径路;房性早搏;短阵房性心动过速;偶发室性早搏。
双肺平扫CT:右肺下叶感染性病变可能;右侧胸腔少量积液;双房增大,心包增厚、弥漫钙化,缩窄性心包炎可能性大。
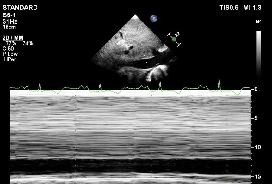
超声检查图像:

左室长轴切面,左房与左室后壁连接处心包增厚,回声增强,两者夹角减小。
.png)
下腔静脉内径增宽,吸气塌陷率<50%。
超声诊断:阳性所见考虑:缩窄性心包炎。
知识拓展:
一、概述
缩窄性心包炎(constrictive pericarditis,CP)是由于心包慢性炎症导致心包的脏壁层增厚、粘连甚至钙化,使心脏舒张受限,从而引起一系列循环障碍的疾病。心包炎初期发病缓慢,呈隐匿性进展,临床症状多样,容易导致漏诊或误诊,使患者错失最佳治疗时机。有文献报道,缩窄性心包炎漏诊率约27%~49%,且自然预后效果不佳。
二、病因
心包疾病的病因包括感染性病因和非感染性病因。在发达国家,病毒通常是心包炎的最常见病原体,而在发展中国家尤其是在东南亚,心包炎的最常见原因是结核(tuberculosis,TB)。近年来由于西方国家心脏手术量的增加,术后心包炎目前是西方国家缩窄性心包炎最常见的病因。其他病因包括放射性心包炎、肿瘤性心包炎、化疗性心包炎、手术后心包炎和石棉沉滞症性心包炎等。
三、病理生理
心脏的外面由心包的脏层和壁层包裹,正常情况下心包的两层之间有少量的液体起润滑作用。缩窄性心包炎是由慢性炎症、瘢痕形成或两者共同存在而引起的心包疾病,病程中出现心包纤维化,并与心肌黏附,心室充盈受损,静脉压力增加,产生的不可逆性损伤的心包钙化。

四、临床表现
缩窄性心包炎大多起病隐匿,由于钙化的心包导致心室舒张充盈受损,临床特征表现为典型的右心衰竭的体征和症状,逐渐出现乏力,水肿,劳力性呼吸困难和腹胀等,且缩窄性心包炎造成的腹水出现较下肢水肿更早,但没有特异性,这提醒我们遇到出现腹水患者需考虑到缩窄性心包炎的可能性。心脏听诊可以听到心包叩击音,或额外心音,其发生机制可能是心室充盈突然停止而产生,但敏感性较差。

五、辅助检查
心电图:心电图表现常无特异性,有些患者仅表现为肢体导联低电压,20%~40%的患者会发生心房颤动。
胸片:胸部X射线检测出心包钙化的概率仅为27%,具体表现是在心包轮廓高密度影,特别是胸部侧位片更加明显,但有时仅能发现胸腔积液及肺充血。
CT:CT正常的心包厚度应小于2 mm,当心包厚度>4 mm时支持缩窄性心包炎的诊断,但在手术证实为心包狭窄的患者中,仍有20%的患者心包厚度正常。对缩窄性心包炎患者的胸部CT 的回顾性研究显示,胸部CT发现缩窄性心包炎患者的概率为68%,而胸部X线检查发现缩窄性心包炎患者的概率仅为49%。

超声心动图:
1. M 型超声:缩窄性心包炎在图像上主要显示为:(1)吸气时室间隔向左心室运动;(2)呼气时室间隔向右心室运动;(3)舒张期室间隔弹跳或颤动。
2. 二维超声:典型的声像图可见心包回声增强,双心房增大,心室减小,房室沟处常有纤维带或钙化,室间隔异常运动(舒张期向左心室内摆动并即刻弹向右心室)。除双心房扩大以外,心包增厚是诊断的重要依据。经食管超声观察心包增厚明显优于经胸超声。此外缩窄性心包炎在二维超声上还可显示:下腔静脉扩张,吸气时塌陷率<50%(提示右心房压力升高)。
3. 组织多普勒超声:二尖瓣环舒张早期速度(e′),尤其是内侧环的舒张早期速度相对正常甚至增大(≥9 cm/s),通常高于外侧环舒张早期速度(e′)。
4. 彩色多普勒超声:在缩窄性心包炎中,二尖瓣口的血流在呼吸过程中有显著的变化:(1)二尖瓣 E 波波速峰值在呼气相通常下降≥25%。(2)三尖瓣口E波波速峰值在呼气相通常上升≥40%。
心脏磁共振(CMR):心脏磁共振成像是评价心包疾病的常用工具。心脏磁共振成像能很好地显示心脏结构,并能评估心包增厚、水肿和积液严重程度。心脏磁共振成像可以发现心包增厚和心包与心肌黏附。磁共振成像中缩窄性心包炎患者心包增厚>4mm是该病的典型表现。实时影像也可以发现呼吸相关的室间隔移位。因此,评估心包疾病的最佳影像学方式仍然首选心脏磁共振成像。
心肌内膜活检:在许多情况下心肌疾病和心包疾病鉴别困难,此时通常可以选择心肌内膜活检或手术探查。所有实验室检查中,结核阴性均不能排除缩窄性心包炎,诊断的关键是细胞学和形态学诊断。对疑似缩窄性心包炎的患者,有创血流动力学检测诊断的准确性更高。
六、治疗方法
在少数情况下,缩窄性心包炎可能是由于炎症引起的,采用抗炎治疗可以自发消退。而大多数缩窄性心包炎患者可能是特发性的,或由于感染、创伤、恶性肿瘤所致。所有造成慢性缩窄性心包炎的病因中,除结核性缩窄性心包炎抗结核治疗有效外,其余病因引起的缩窄性心包炎无特效治疗办法,其治疗包括药物保守治疗和外科手术治疗。
药物治疗:慢性心包疾病主要治疗方法是外科手术,但药物治疗在以下3种情况下有作用。首先,针对病因(尤其是结核性心包炎)药物治疗有助于防止病情进展。其次,大约10%~20%的缩窄性心包炎患者在几个月内可出现短暂的可逆性收缩,可以进行口服药物治疗(一般以抗炎药物为基础)。第三,药物治疗是支持治疗,目的是控制晚期患者以及具有手术禁忌患者的充血症状,手术治疗仍然是首选。
手术治疗:心包切除术主要目的是为了避免心包持续钙化,术式包括完全性心包切除术和不完全性心包切除术。完整的心包切除术仍然是慢性缩窄性心包炎唯一有效的治疗办法,对于患有明显心力衰竭症状(纽约心脏协会心功能III级或IV级)的慢性收缩性心包炎患者,完全性心包切除术是唯一的治疗手段。临床上患者往往心包钙化、黏连严重,通常不能行完全性心包剥脱术,需综合考虑患者状况选择最佳手术方式。
综上所述,对特发性缩窄性心包炎,应积极手术治疗,其他原因引起的缩窄性心包炎应尽量根据个体具体情况选择最佳治疗方案。
参考文献:
[1] MIRANDA W R, OH J K. Constrictive pericarditis: a practical clinical approach[J]. Progress in Cardiovascular Diseases, 2017, 59(4): 369-379.
[2] YASUHARA J, OMORI S, MAEDA J, et al. Successful total pericardiectomy for constrictive pericarditis in the first series of Japanese patients with mulibrey nanism[J]. Canadian Journal of Cardiology, 2018, 34(5): 690.
[3] NUNES M C P, JÚNIOR G, HENRIQUES M, et al. Cardiac manifestations of parasitic diseases[J]. Heart, 2017, 103(9): 651.
[4] 郭颖, 高伟, 傅立军, 等. 有创性心导管检查对限制性心肌病和缩窄性心包炎的诊断价值[J]. 中华实用儿科临床杂志, 2017, 32(1): 37.
[5] 卢彦娜, 田天, 唐群中, 等. 缩窄性心包炎诊治现状及进展[J]. 中华老年多器官疾病杂志, 2019, 18(7): 557-560.
[6] CHANG S A, OH J K. Constrictive pericarditis: A medical or surgical disease? [J]. J Cardiovasc Imaging, 2019, 27(3): 178-186.
阜外院训
敬业 · 仁爱 · 求实 · 攀登
军队文化
对党忠诚,信念坚定,听党指挥,从大局出发,全心全意为人民服务, 注重团队协作,组织纪律严明
协和文化
协和精神:严谨、求精、勤奋、奉献思想内核:崇尚科学、崇尚知识、 专业态度和专业精神表现方式:凝重、内敛、不张扬、重视口碑效应
精英文化
始终以成为行业内精英医院为奋斗目标以【培养国家级心血管病专家为己任】