核医学科 - 科室动态 - 正文
“花瓣儿心”背后的秘密
时间:2024-11-25
浏览量:19090
一、患者病史介绍
患者女,41岁,发现先天性心脏病7年,加重1月。7年前体检发现先天性心脏病,出现活动后心慌,休息后可缓解,未予重视,1月前上述症状加重,伴体力下降,夜间阵发性呼吸困难。
检查结果示:1、2022.10心脏彩超示:先天性心脏病,Ⅱ孔型房间隔缺损(中央型)房水平分流,动脉导管未闭;2、肿瘤标志物示:糖类抗原125(CA125)331.90 U/ml↑(正常范围0-35 U/ml)。
诊断:房间隔缺损、动脉导管未闭,肺动脉高压,二尖瓣关闭不全,三尖瓣关闭不全,心脏扩大。
二、检查目的
医师决定行二尖瓣机械瓣置换术(保留瓣下结构),三尖瓣成形术,房间隔缺损人造补片修补术,动脉导管未闭切段缝合术。术前为排外手术禁忌证,2022.11行PET/CT示:巨大心脏显影,房室各壁心肌代谢明显增高。
术后3个多月后心脏彩超示:先天性心脏病,术后房水平分流消失,动脉水平分流消失,机械表功能正常,三尖瓣功能正常,左、右室收缩功能减低,微少量心包积液。
三、PET/CT在先心病方面的运用
PET/CT全身显像在先心病方面检查较少[1-2] ,多为感染性心内膜炎和心脏设备感染的运用,PET/CT为患者提供了额外的诊断价值,并改善了病例分类[3]。该病例为先心病PET/CT全身显像巨大心脏显影,形似“花瓣儿”,较为少见。患者术后症状明显得到改善,定期复诊。PET/CT全身显像对先心病患儿具有一定的临床价值。

.png)

.png)



.png)

.png)
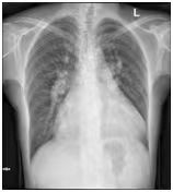
(图1)先天性心脏病患者(女,41岁)18F-FDG PET/CT显像图。1A.全身最大密度投影图示心脏明显扩大,房室各壁糖代谢明显增高;2B.心脏断层显像示各室壁糖代谢明显增高,SUVmax为11.5;1C.横断面、冠状面、矢状面三个不同层面示心腔明显增大,各室壁糖代谢明显增高。图2同一患者胸片。2A.2022年10月(手术前)胸片:心胸比为0.88;2B.2022年12月(手术后)胸片:心胸比例为0.76。
参考文献
[1]Meyer Z, Fischer M, Koerfer J, et al.The role of FDG-PET-CT in pediatric cardiac patients and patients with congenital heart defects[J]. Int J Cardiol. 2016,1(220):656-60. DOI: 10.1016/j.ijcard.
[2]Kilner PJ. Imaging congenital heart disease in adults[J]. Br J Radiol. 2011,84 (3):S258-68. DOI: 10.1259/bjr/74240815.
[3]Pizzi MN, Dos-Subirà L, Roque A,et al.18F-FDG-PET/CT angiography in the diagnosis of infective endocarditis and cardiac device infection in adult patients with congenital heart disease and prosthetic material[J]. Int J Cardiol. 2017,1(248):396-402.DOI:10.1016/j.ijcard.
上一篇: 这种“孤儿病”,您了解了吗?
下一篇: 心脏结节病,您了解吗?
阜外院训
敬业 · 仁爱 · 求实 · 攀登
军队文化
对党忠诚,信念坚定,听党指挥,从大局出发,全心全意为人民服务, 注重团队协作,组织纪律严明
协和文化
协和精神:严谨、求精、勤奋、奉献思想内核:崇尚科学、崇尚知识、 专业态度和专业精神表现方式:凝重、内敛、不张扬、重视口碑效应
精英文化
始终以成为行业内精英医院为奋斗目标以【培养国家级心血管病专家为己任】